Operative Orthopädie
KNIEGELENKERSATZ
Sollten die verschiedenen, nicht operativen (= konservativen) Behandlungsmöglichkeiten bei fortgeschrittenen Kniegelenkverschleiß (Gonarthrose) die Schmerzen nicht zufriedenstellend lindern, bleibt als letzte Konsequenz oft nur die Gelenkflächen-Ersatzoperation.
Bei einem entsprechenden Eingriff werden von den gelenkbildenden Knochenoberflächen, nachdem dort spezielle Schnittblöcke aufgebracht worden sind, lediglich wenige Millimeter dicke Knochenscheiben entfernt und anschließend auf die so vorbereitete Oberfläche eine Oberflächenersatzprothese (aus Metall) einzementiert.
Sind sowohl die Innen- als auch die Außenseite des Gelenkes fortgeschritten verschlissen, wird eine so genannte wie „bicondyläre“ Oberflächenersatzprothese eingesetzt (= komplette Knieprothese). Sollte der Verschleiß nur die Innenseite des Kniegelenkes betreffen, ist die Versorgung mit einer Schlittenprothese möglich.
Derartige Eingriffe werden regelmäßig von Dr. Prange in der Paracelsus Klinik Hannover-Langenhagen unter stationären Bedingungen durchgeführt. Der Krankenhausaufenthalt dauert zumeist eine Woche, im Anschluss daran folgt zumeist eine stationäre Rehabilitationsbehandlung über 3–4 Wochen in einer entsprechenden Reha-Klinik.
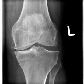
Varusgonarthose
(Knieverschleiß innenseitig)
Varusgonarthose (Kniegelenkverschleiß innenseitig)
Totalendoprothese
Monoschlittenprothese
HÜFTGELENKERSATZ
Bei fortgeschrittenen Hüftgelenkverschleißbeschwerden (Koxarthrose), die trotz Ausschöpfung der konservativen Behandlungsmöglichkeiten (z.B. Gabe von knorpelregenerativen Spritzen in das Gelenk-> Hyaluronsäure/thrombocytenreiches Eigenblutplasma, manualmedizinischer Lockerung von Gelenkkapseln) Beschwerden wie Belastungsschmerzen verursachen, ist es möglich, das schmerzhafte Hüftgelenk operativ zu ersetzen. Über einen relativ kleinen operativen Zugangsweg werden die verschlissenen Gelenkkomponenten entfernt und durch langjährig bewährte Implantate ersetzt, die zu 99% zementfrei im Knochen verankert werden.
Derartige Eingriffe werden regelmäßig von
Dr. Prange in der Paracelsus Klinik Hannover-Langenhagen unter stationären Bedingungen durchgeführt. Der Krankenhausaufenthalt dauert zumeist eine Woche, im Anschluss daran folgt eine stationäre Rehabilitationsbehandlung über 3–4 Wochen in einer entsprechenden Reha-Klinik.
Coxarthrose (Hüftverschleiß)
Hüftprothese






